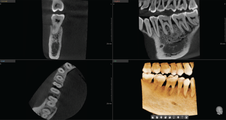
| Modo de Examinación | Tiempo de Escaneo | Tamaño de Imagen |
|---|---|---|
|
LATERAL
|
21x23 cm (8.3"x9.1")
|
|
|
LATERAL COMPLETO
|
25X23 cm (10.6"x9.1")
|
|
FUNCIÓN
|
Pano + CBCT + Ceph
|
|
TIEMPO DE ESCANEO
|
|
|
TAMAÑO CT-CV (cm)
|
|
|
TAMAÑO VOXEL
|
|
|
CEPH FOV SIZE
|
|
|
ESCALA DE GRISES
|
14 bit
|
|
POSICIÓN DEL PACIENTE
|
De pie / Acceso silla fija / Acceso de ruedas
|
|
GENERADOR
|
Voltaje 50-90 kVp. / Corriente 4-10mA.
|






