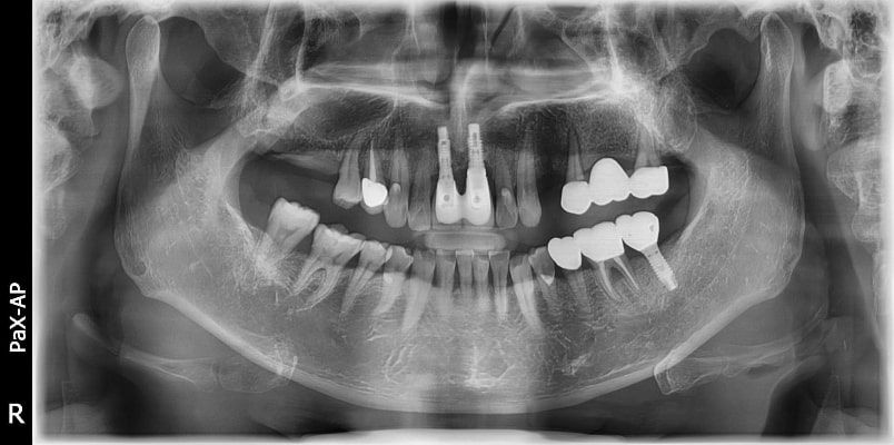
El innovador FOV proporciona un volumen en forma de arco que muestra una vista más amplia de la dentición en comparación con otros dispositivos del mismo FOV.
Normalmente, una imagen de 10x8.5 muestra el diente No.8. Sin embargo, cuando los terceros molares están tumbados sobre su lado hay una gran posibilidad de que el diente se corte de la imagen.
El “volumen en forma de arco” elimina esta posibilidad y muestra el área de dentición oculto.
|
FUNCIÓN
|
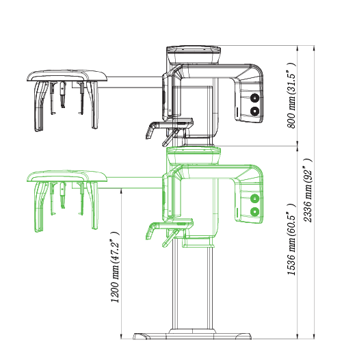
CT (con Auto Pano) + Pano + Ceph
|
|
PUNTO FOCAL
|
0.5 mm
|
|
TIEMPO DE ESCANEO
|
|
|
TAMAÑO CT-CV (cm)
|
10x8.5cm / 10x7cm
|
|
TAMAÑO VOXEL
|
0.2mm / 0.3mm
|
|
ESCALA DE GRISES
|
14 bit
|
|
GENERADOR (Tubo)
|
|

